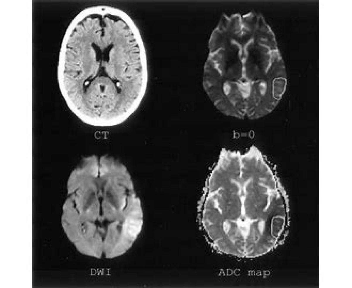
مخفف ADC Apparent Diffusion Coefficient ضریب پخش ظاهری یک کمیت در ام آر آی و بویژه در روش تصویرگیری پخش وزنی است، و با ADC نشان میدهند. این کمیت، برآیند جابجایی مولکولها را در یک بافت نشان میدهد. یک ارزش ADC بالا نشانگر حرکت زیاد و در نتیجه سیگنال ضعیف است.مشاهده نسخه کامل