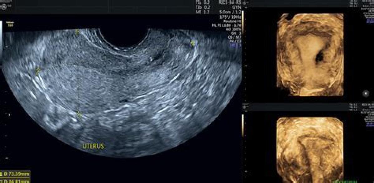
سونوگرافی ترانس واژینال TVS, یکی از انواع سونوگرافی هایی است که برای زنان و مادران باردار تجویز می شود. این سونوگرافی که از طریق واژینال انجام می شود, دقت بسیار بالایی در تشخیص دارد و به پزشک کمک می کند تا تشخیص بهتری از بیماری و یا سلامت بیمار داشته باشد. سونوگرافی ترانس واژینال با استفاده از امواج صوتی با فرکانس بالا, تصاویری از قسمت های داخلی بدن ایجاد می کند و نشان می دهد. هر چند سونوگرافی های شکمی دقیق هستند و اطلاعات دقیقی از قسمت های داخلی شکم را نشان می دهند اما در مورد ارگان های لگنی زیاد دقیق عمل نمی کند و بهترین پیشنهاد برای بررسی ارگان های لگنی, استفاده از ترانس واژینال است.

درسونوگرافی ترانس واژینال برخلاف سونوگرافی عادی شکمی که مبدل بر روی شکم قرارمی گیرد, پزشک مربوطه پروب سونوگرافی که حدودا ۲ یا ۳ اینچ است, داخل کانال واژن قرار می دهد. پزشکان از این سونوگرافی برای بررسی اندام های تولید مثل زنان مانند تخمدان, رحم, دهانه ی رحم, لوله های فالوپ و مثانه استفاده می کنند. چرا که این اندام ها از طریق واژن به راحتی قابل مشاهده است.

موارد استفاده از سونوگرافی ترانس واژینال:
- درد لگن
- خونریزی غیر عادی واژن
- معاینه غیر طبیعی لگن یا شکم
- حاملگی خارج از رحم
- بررسی کیست یا فیبروم رحمی
- نا باروری
- تایید قرارگیری IUDدرمحل مناسب
- سرطان اندام های تولید مثل