لوسمی حاد لنفوئیدی یا به اختصار ALL یکی از انواع سرطان خون است. این نوع لوکمی سلول‌های لنفاوی یا لنفوسیت‌ها را تحت تأثیر قرار می‌دهد که بافت‌های لنفاوی را می‌سازند و روندی حاد دارد.

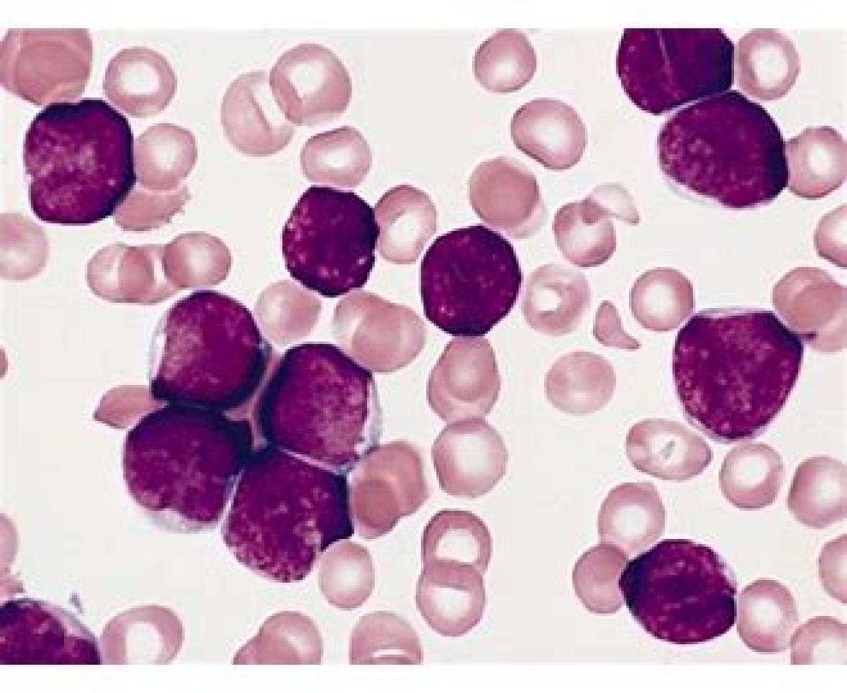
سرطان خون یا لوسمی یا لوکمیا بیماری پیشرونده و بدخیم اعضای خون ساز بدن است. این بیماری در اثر تکثیر و تکامل ناقص گویچه‌های سفید خون و پیش سازهای آن در خون و مغز استخوان ایجاد می‌شود. لوسمی یکی از سرطانهای شایع در میان کودکان است.

در لوسمی مغز استخوان به صورت غیر عادی، مقدار بسیار زیادی سلول خونی تولید می‌کند. این سلولها با سلولهای خون نرمال و عادی متفاوت هستند و درست عمل نمی‌کنند. در نتیجه، تولید سلول‌های سفید خون طبیعی را متوقف کرده و توانایی فرد را در مقابله با بیماری‌ها از بین می‌برند. سلول‌های لوکمی همچنین بر تولید سایر انواع سلول‌های خونی که توسط مغز استخوان ساخته می‌شود از جمله گویچه های قرمز خون که اکسیژن را به بافت‌های بدن می‌رسانند، و پلاکتهای خونی که از لخته شدن خون جلوگیری می‌کنند، اثر منفی می‌گذارند لذا در انواع لوسمی ضعف ایمنی ، کم خونی و اختلال انعقاد خون داریم.

در لوسمی حاد ، سلول‌های مغز استخوان بلوغ مناسبی ندارند . سلول‌های لوسمیک نابالغ اغلب بلاست نامیده می‌شوند که به تولید مثل و تجمع ادامه می دهند . در لوسمی لنفوئیدی منشا سلولهای سرطانی رده لنفوسیتها بخصوص لنفوسیتهای B می‌باشد .

لوسمی حاد لنفوسیتی (ALL ) در میان اطفال شایع تر است . سن کودکان مبتلا به بیماری معمولاً کمتر از ۱۰ سال است . سفید پوستان دو برابر نژاد آمریکایی – آفریقایی به ALL مبتلا می‌شوند .

عوامل خطر ، عواملی هستند که احتمال ابتلا فرد به سرطان را افزایش می‌دهد این عوامل با شیوه زندگی محیط و ژنتیک ( وراثت) در ارتباط است .

عوامل خطر مرتبط با نحوه زندگی در انواع سرطان‌ها شامل سیگار یا نور شدید خورشید می‌باشد . تنها عامل مرتبط به شیوه زندگی که جزء عوامل خطر ثابت شده لوسمی است سیگاراست . عوامل محیطی ، عواملی هستند مانند رادیاسیون ، مواد شیمیایی و عفونت‌ها که در محیط اطراف ما قرار دارند . در محیط کار در معرض بنزن ( یک نوع ماده شیمیایی ) بودن به مقدار زیاد به مدت طولانی از عوامل خطر AML به حساب می آید . رادیاسیون به مقدار زیاد ( بازماندگان بمب اتمی یا حوادث رآکتورهای هسته ای ) بیش از دیگران در معرض AML یا ALL قرار دارند .