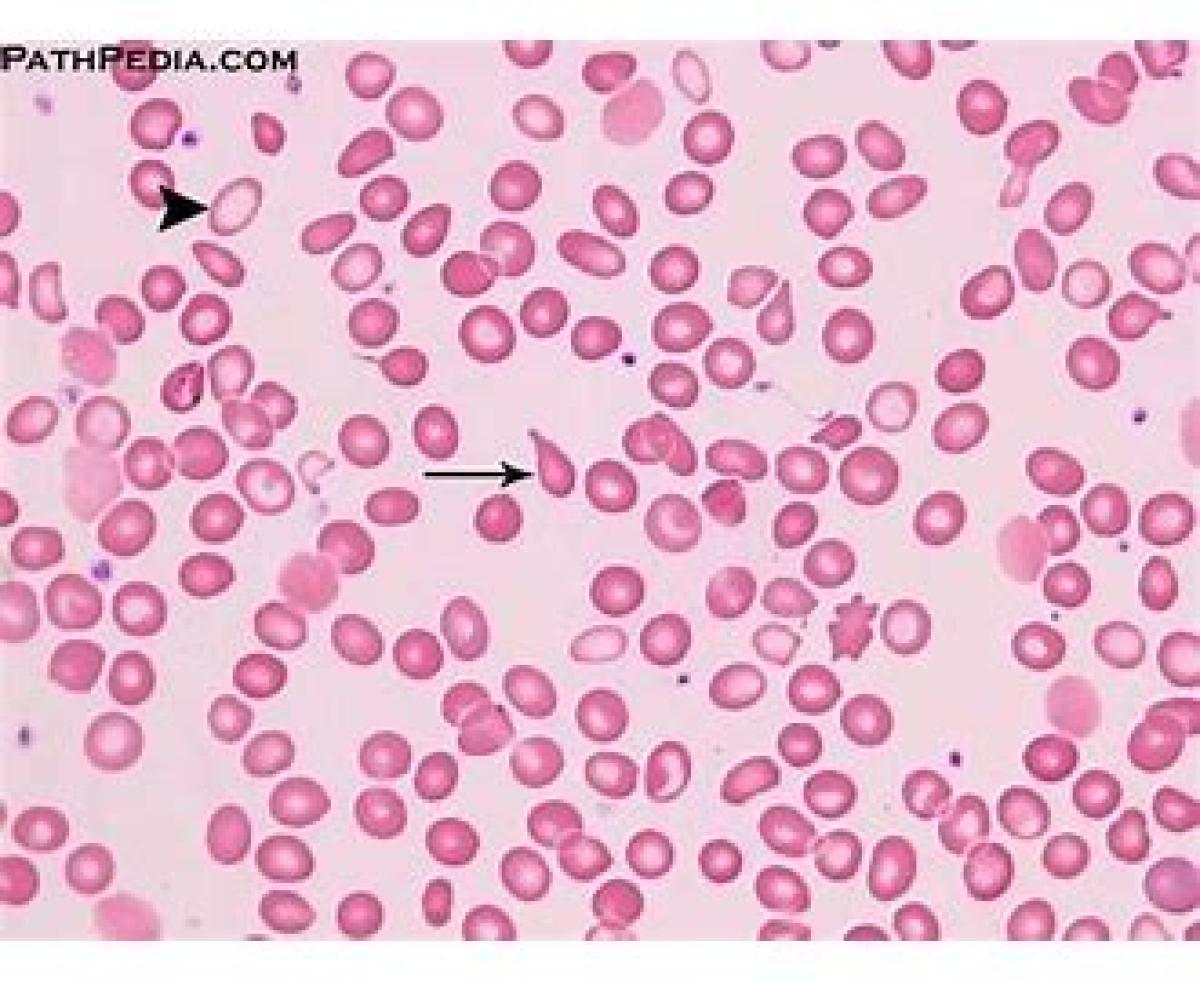
مخفف PBS Peripheral Blood Smear منظور از PBS مشاهده اسمير خون محيطي است. و گزارش اشكال غير طبيعي و اندازه هاي غير طبيعي از گلبولهاي سرخ خون محيطي است.مشاهده نسخه کامل