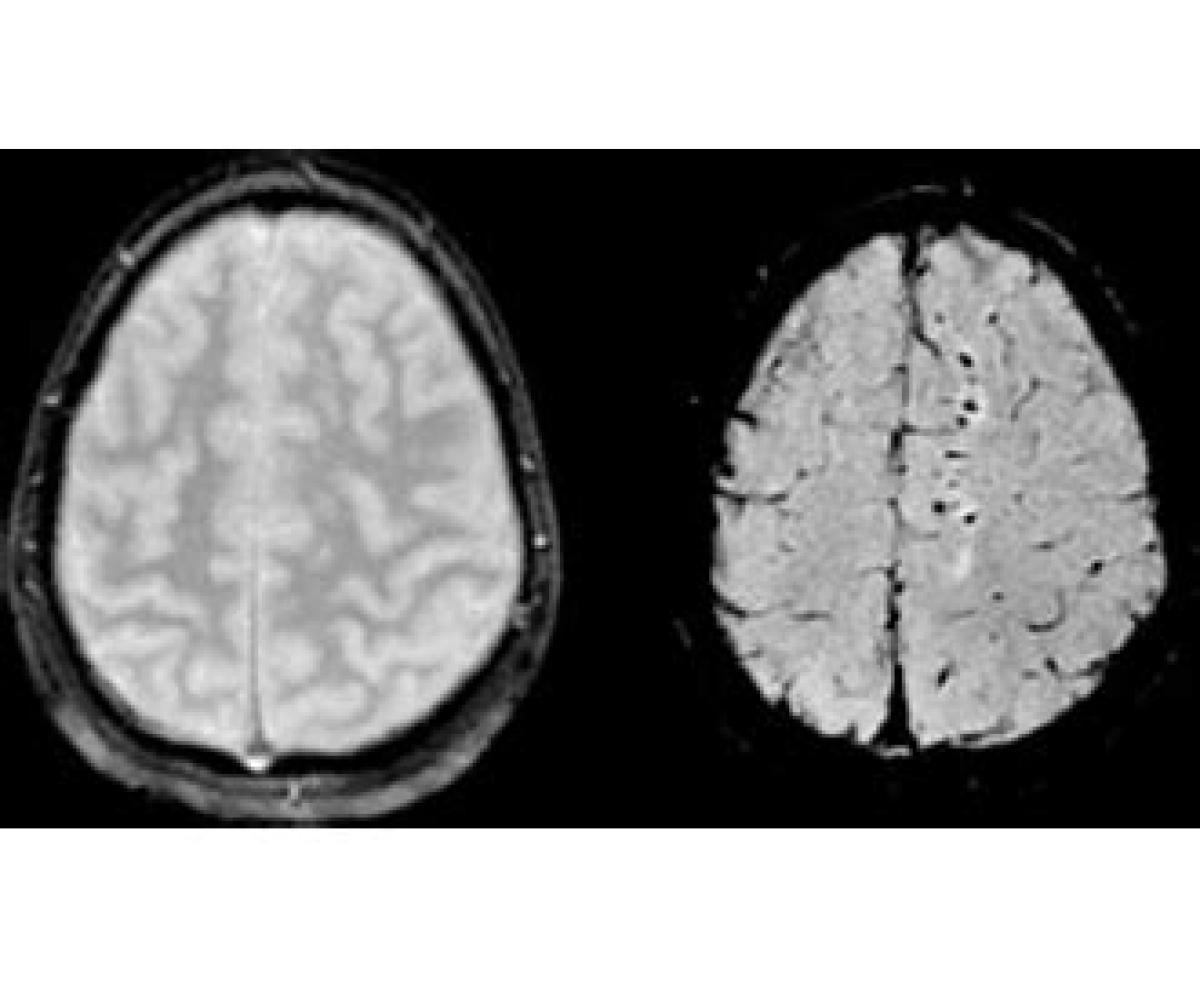
مخفف DIA
Diffuse Axonal Injury
آسیب منتشر آکسونی(diffuse axonal injury): به علت تکان شدید و یا چرخش شدید سر ایجاد میشود. هنگامی که سر بطور ناگهانی تکان میخورد (بصورت شلاقی)بدون اینکه به شیئی برخورد کند، افزایش و کاهش ناگهانی سرعت میتواند به مغز آسیب برساند. پارگی بافت اعصاب در پی این آسیب میتواند کارکرد طبیعی مغز را مختل کرده و به آسیب کلی مغز،کما و حتی مرگ منجر گردد.